最近陸續有醫師加入我們這個大家庭, 應該來好好介紹一下我們的醫師陣容了!! 我們的醫師主要是由台安醫院牙科部的主治醫師組成, 對於牙科治療的品質有極高的要求, 希望能夠提供一個全面照護, 且高品質的牙科治療, 這也是我們全體加得同仁共同的努力目標! 加得牙醫診所 發表在 痞客邦 留言(1) 人氣(23,315)
最新醫師看診時間!! 供需要的朋友參考喔! 加得牙醫診所 發表在 痞客邦 留言(2) 人氣(9,281)

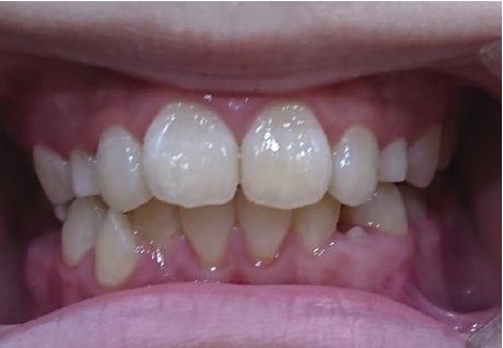
作者: 林君鴻 醫師
小時候一口整齊的牙齒,怎麼換牙時完全變了調? 這是很多媽咪心理的疑問!然而
● 為甚麼牙齒會變亂?
● 什麼時候是矯正牙齒的最佳時機?
● 矯正的方法與比較
● 可以預防嗎?
以下為大家一一說明喔!
為甚麼牙齒會變亂?
牙齒會移動是因為力量的關係。
要長牙齒的牙床,隨著幼兒的生長發育和正常的口腔肌肉功能,例如吞嚥動作而擴
大。
而牙齒外面的臉頰、嘴唇與牙齒內側的舌頭產生力量的平衡,因此造成長牙的空間足
夠並形成漂亮的弧度。
加得牙醫診所 發表在 痞客邦 留言(0) 人氣(614)

今天早上來診所看診的陳先生 , 65歲 , 我們已經是他最近求診的第三間診所了. 自恃牙齒很好的他聲稱長這麼大沒有過任何一顆蛀牙, 更沒有牙痛的經驗 , 但最近兩三個月來, 在咬東西的時候偶爾牙齒會感覺到痠痛, 尤其是吃到比較韌或是比較硬的東西. 最近一個月, 痠痛的感覺越來越明顯, 才決定要找牙醫師檢查. 可惜看了兩個牙醫, 也拍了X光片, 做了檢查, 醫師的診斷都是敏感性牙齒, 除了建議長期使用抗敏感牙膏, 塗佈了抗敏感劑, 並沒有發現牙齒有蛀牙或是磨損的問題. 使用了抗敏感牙膏已經快一個月了, 這個咬痛的症狀不但沒有改善, 反而發生的頻率越來越頻繁, 所以才想再檢查看看.
加得牙醫診所 發表在 痞客邦 留言(0) 人氣(2,230)

"好看不好看" 這件事其實是很主觀的, 雖然在牙科治療上, 我們有一個大致可以依循的規則, 但是有些特殊的情況還是很難有個絕對的答案。
一個牙周病拖了很久不願意就診的李媽媽, 終於因為牙齒腫了起來, 疼痛難耐, 在女兒的催促下來到我們這裡看診。 當時經過臨床與X光的檢查, 發現這顆牙齒已經搖搖欲墜, 無法治療, 所以就在雙方同意的情況下, 將這個惱人的臼齒拔除。 在這之後, 李媽媽也決定將其他牙周病的問題做個處理。 所以接下來的一兩個月裡, 她很配合地讓我們完成牙周病的治療。 在牙周病得到控制後, 李媽媽很高興也很滿意的告訴我們, 牙肉不再流血, 口腔裡的異味感也改善許多。 對於因為牙周病向外突出的門牙, 她並不是很介意, 所以我們也不打算作其他處理。
加得牙醫診所 發表在 痞客邦 留言(0) 人氣(1,148)
加得牙醫診所 發表在 痞客邦 留言(0) 人氣(1,910)

許多年前, 曾經在一個聚會的場合中, 和一位當時已經80多歲的教授聊到他接觸牙科這個行業50多年的歷史. 許多技術的進步與發展, 讓他一直對這個行業充滿興趣. 聽他述說著過去治療方式, 工具等等的種種趣事, 讓我興起了一個念頭, 去找找牙醫這個行業的源頭. 這兩天看到關於悲慘世界裡芳婷賣牙齒的文章, 讓我想跟大家分享一下之前收集的資料裡一些有趣的內容.
牙科治療的歷史證據, 可以在西元前兩三千年的埃及骨骸上發現, 當時就有一些利用金屬線或銅片將牙齒固定的痕跡, 可見當時的人就有固定動搖的牙齒及保存牙齒的觀念.
加得牙醫診所 發表在 痞客邦 留言(0) 人氣(3,564)

下午診所來了一個女孩子要看診, 有著一臉不安. 原來剛剛午餐的時候, 一塊鮮嫩多汁的雞排讓她的門牙斷掉了! 匆匆闔上吃了一半的便當, 只想找個牙醫看看可不可以幫她解決問題. 當然, 當務之急, 我們先要恢復她的門牙, 讓她可以不再戴著口罩, 所以, 我們就先做了一個臨時牙套給她, 先解決她的燃眉之急, 再來好好的討論一下要怎麼修補這個斷掉的牙齒!
加得牙醫診所 發表在 痞客邦 留言(2) 人氣(55,648)

這幾年來, 大家似乎越來越在乎自己牙齒好不好看的問題了. 記得在許多年前還常常看到許多裝扮入時的年輕小姐, 卻是一口令人不敢恭維的黃板牙; 或是電視上看到光艷動人的影視紅星, 回眸一笑露出讓人不置可否的亂牙. 但隨著牙科知識的普及, 大家對於一口整齊貝齒可以影響外觀的觀念是越來越清楚, 也越來越重視了!
下午來了一個年輕人, 瘦瘦高高的身材, 穿著髮型都相當時尚, 但一開口, 一顆門牙缺了一半. 他說這顆門牙是小時候撞斷的, 補了好幾次. 剛剛吃東西時又不小心給咬斷了. 前一陣子看到朋友去整牙, 作了一整排很白的牙齒, 所以他想反正這顆牙齒要做假牙, 是不是乾脆就做一整排, 這樣會比較白, 比較好看!
仔細的檢查了一下, 發現這顆斷了的牙齒因為做過根管治療, 所以顏色較深. 補上的東西容易掉, 除了因為這顆牙本來就因為斷掉一半, 結構有限, 以至補不太牢, 再加上因為咬合很深, 下排牙齒擁擠, 有一顆牙擠到前面, 咬合時會先頂到這顆牙齒, 所以才會很容易將補的東西咬掉. 因此, 即使要做牙套, 咬合關係還是要先經過矯正調整好後再做, 才能使之後做的牙套用得長久.
加得牙醫診所 發表在 痞客邦 留言(0) 人氣(1,047)

那天陳先生定期回來洗牙檢查, 發現他續了一臉的鬍子, 我心裡想, 該不會是陳媽媽走了吧? 但不好意思多問, 只在檢查洗牙後閒話兩句, 就匆匆告別, 但心裡一直掛著這件事.
陳媽媽是我早期的一個病人, 當初是由她的女兒帶來治療, 花了一段時間, 好好的整理了她的牙齒, 最後裝了固定牙橋及活動假牙, 算是較簡單的全口重建患者. 一開始治療時陳媽媽約莫六十八歲, 身體狀況很好, 除了前兩次的治療是由女兒帶來, 其他的時候, 她都是自己坐公車, 或是散步過來. 她是個個性活潑開朗的人, 每次來都會聊聊她的孫兒孫女, 驕傲的談論她出國留學的兒子, 聊一下她偶而疼痛的膝蓋, 或是她和好友出國旅遊或是到菜市場的收穫. 直到治療完後, 她還是半年一年的會回來檢查, 或是調整一下假牙, 順便聊聊她又要到哪裡旅行.
大概是四年前的一次回診, 突然發現她瘦了好多. 她要我幫忙看看她的口角炎, 一問之下, 才知道她被診斷出大腸癌. 經過手術切除腫瘤後, 現在正接受治療, 以致口角常常發炎; 等會兒看完牙齒, 她還得趕去醫院做治療, 她說話的口氣還算平順, 也沒有其他癌症患者的愁容和焦慮, 只有"因為要做治療, 所以生活變得很忙碌" 的無奈感. 走之前還是一如往常的跟我們說說笑笑, 其實癌症的治療在這幾年也頗為進步, 她胸有成竹的面對抗癌挑戰, 我們也衷心的給予祝福!
加得牙醫診所 發表在 痞客邦 留言(0) 人氣(227)